El mundo bajo el microscopio – Emperipolesis
¿Has oído hablar de la emperipolesis? En este número te la enseñamos.
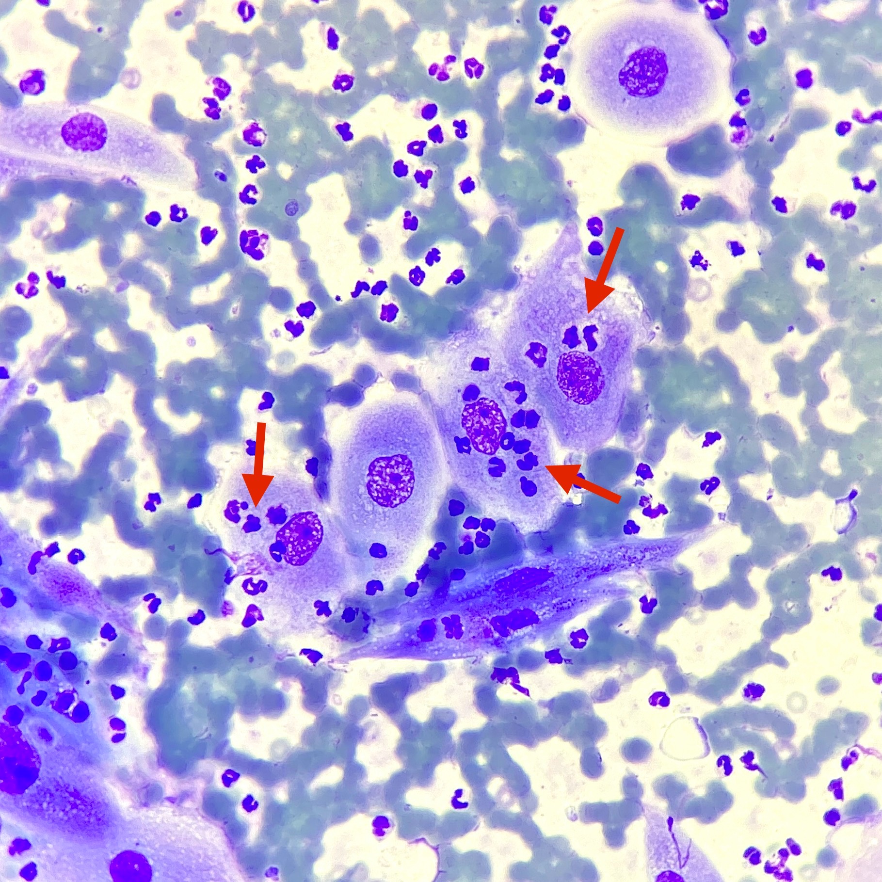
La emperipolesis se refiere al fenómeno en el que una célula (normalmente leucocitos) “atraviesan” el citoplasma de otra célula. A diferencia de la fagocitosis, la célula permanece intacta y puede abandonar el citoplasma en cualquier momento.
La emperipolesis se observa, por ejemplo, en carcinomas de células escamosas en perros y gatos. Las flechas rojas señalan neutrófilos que se encuentran dentro del citoplasma de epitelios escamosos neoplásicos.

Puedes solicitar nuestro servicio de citología o de anatomía patológica a través de MyLab:
Acceso a MyLab
Donde podrás solicitar pruebas como:
# 201 – Histopatología (por problema clínico): Neoplasias (hasta 2 localizaciones), punch cutáneos, biopsia de útero, biopsia de órganos
(hasta 3 localizaciones)
# 2209 – Histopatología especial: Ej. dedo, órganos enteros (p. ej. bazo, testículo), 3-5 complejos mamarios, biopsias de 4-6 órganos, estudio detallado de márgenes quirúrgicos.
# 204 – Citología – p. ej., un lugar: hasta 4 frotis, 1x líquido/lavado más 2 frotis
#2604 – Citología especial – Una localización: más de 5-6 preparaciones/2 localizaciones: hasta 4 preparaciones cada una, así como fluidos de más de 2 preparaciones o múltiples fluidos.
En caso de tener cualquier consulta no dudes en ponerte en contacto con nosotros.
Tu equipo LABOKLIN España